باريس - مصر اليوم
تعد العقاقير التى تنتمى لمجموعة "ستاتين statins" الخافضة للكولسترول من أبرز الأدوية المستخدمة لعلاج ارتفاع الكولسترول بالدم والحد من خطر الإصابة بأمراض القلب والجلطات، وتواصل الأبحاث الطبية الحديثة يوماً بعد يوم اتحافنا بالمزيد من فوائدها الطبية، ومع ذلك فلا ننكر أثارها الجانبية الكبيرة والتى تحتم على المرضى متابعة تناولها تحت إشراف الطبيب المتخصص، ومن أمثلتها عقار "أتورفاستاتين" و"سيمفاستاتين"و"روزفاستاتين".
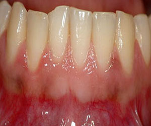
وكشفت دراسة علمية حديثة أشرف عليها فريق من الباحثين بالولايات المتحدة الأمريكية عن أن العقاقير التى تنتمى إلى مجموعة ستاتين الخافضة للكولسترول تساهم بشكل كبير فى الحد من خطر الإصابة بالتهابات اللثة المزمنة لدى الأشخاص المصابين بأمراض القلب، وهو ما يعد أمراً مثيراً للغاية.
وأظهرت النتائج أن الأشخاص الذين حصلوا على جرعات عالية من عقاقير "ستاتين" الخافضة للكولسترول "80 مجم" ولمدة 4 أسابيع فقط، حدث تحسن ملحوظ فى حالتهم المرضية، وانخفضت التهابات اللثة بشكل كبير، بالإضافة إلى حدوث تحسن واضح أيضا لدى المصابين بتصلب الشرايين.
ويشير الدكتور أحمد توكل، المدير المساعد لبرنامج تجارب التصوير القلبى فى مستشفى ماساتشوستس العام وكلية الطب جامعة هارفارد، وأحد المشاركين فى الدراسة، أن أمراض والتهابات اللثة المزمنة تصيب حوالى 50% من الأشخاص البالغين فى الولايات المتحدة الأمريكية، وغالباً ما تكون الإصابة متزامنة مع تصلب الشرايين، نظراً لتشابه الطبيعة الفسيولوجية لكلا المرضين.
وأضاف توكل أن عقاقير "ستاتين" لها فوائد إضافية أخرى بجانب قدرتها على خفض الدهون بالدم، لافتاً إلى ضرورة أن يضع الأطباء تلك الاعتبارات فى حسبانهم عند المفاضلة بين الخيارات العلاجية المتاحة لمرضاهم.
جاءت هذه النتائج بالمجلة العلمية "Journal of the American College of Cardiology"، وذلك على الموقع الإلكترونى الخاص بها فى الثانى من شهر أكتوبر الجارى.


أرسل تعليقك